Acest site folosește cookies. Continuarea navigării implică acceptarea lor. Mai multe informatii
aici
OK
Despre noi
Echipa
Tratamente
Tehnologie
Tarife
Cazuri
Media
Fonduri Europene
Contact
0768 240 101
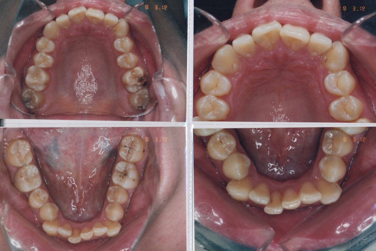
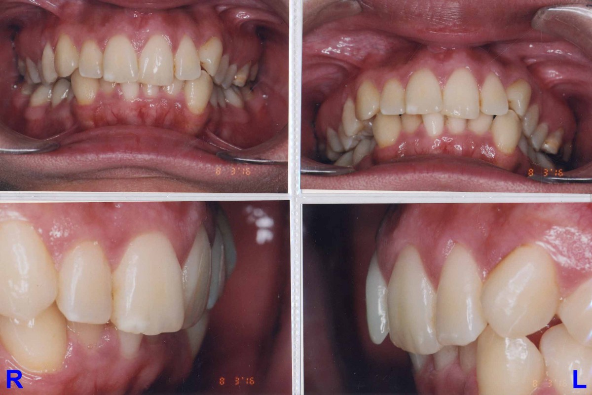
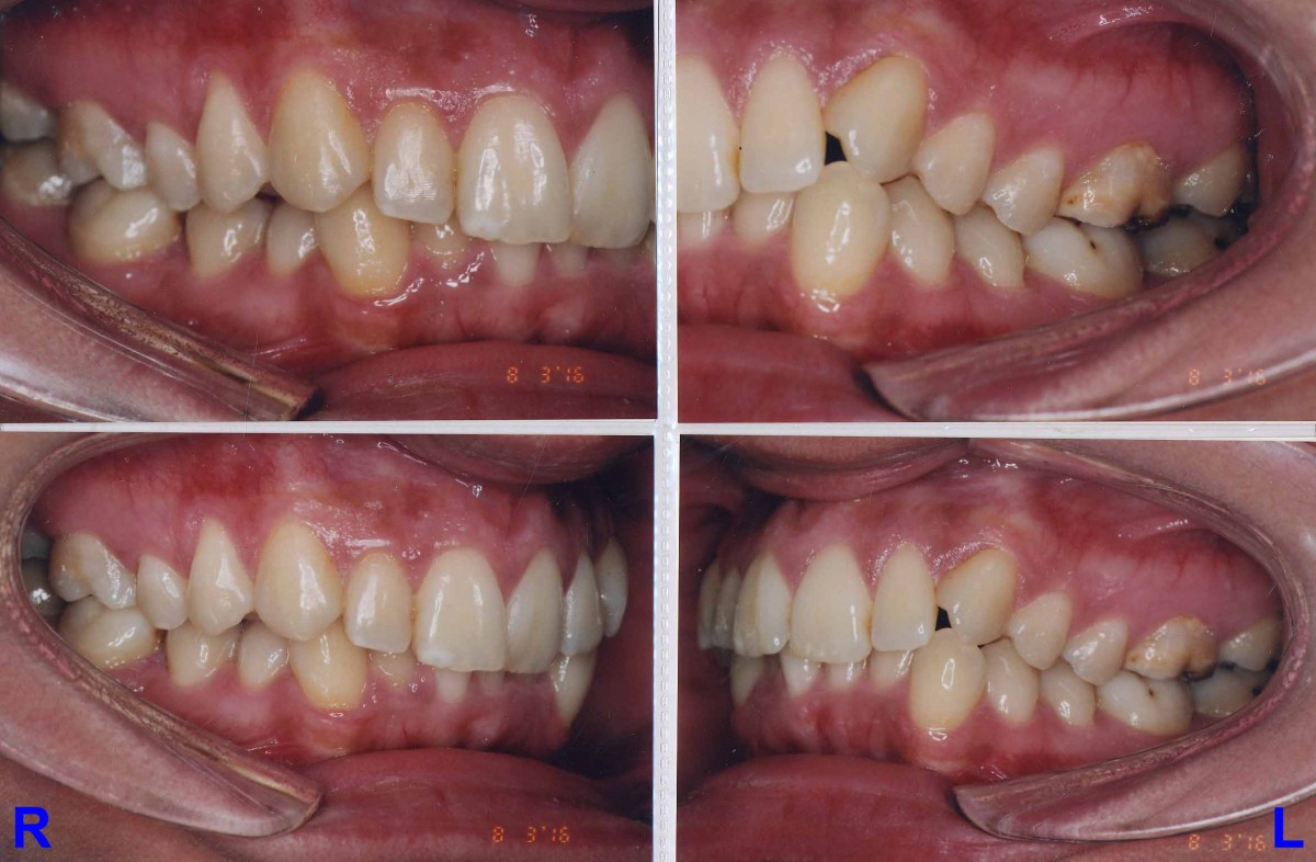
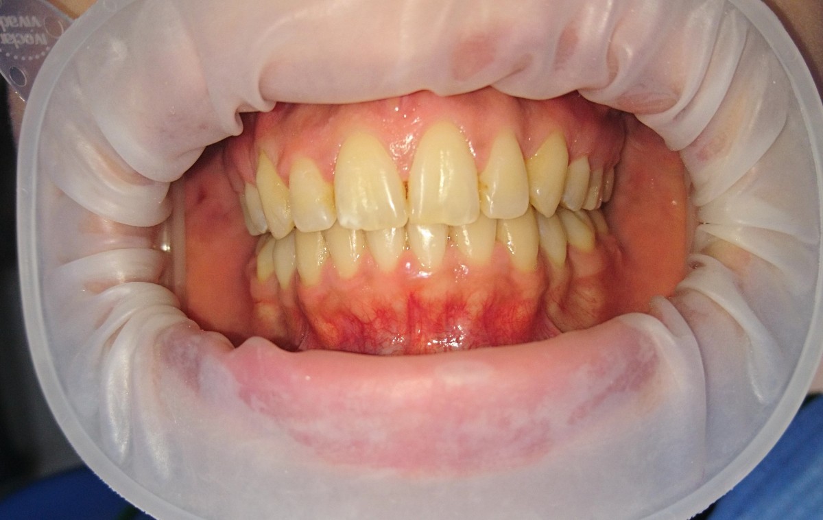
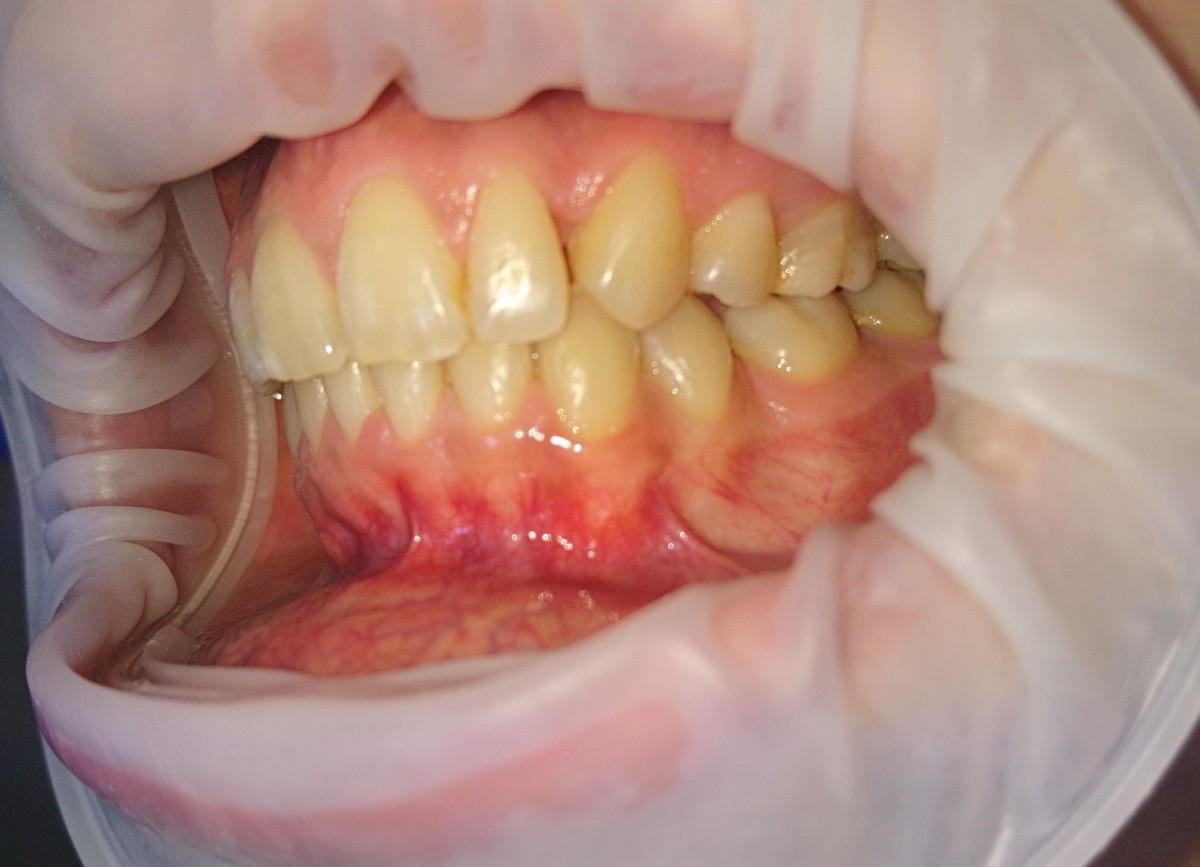
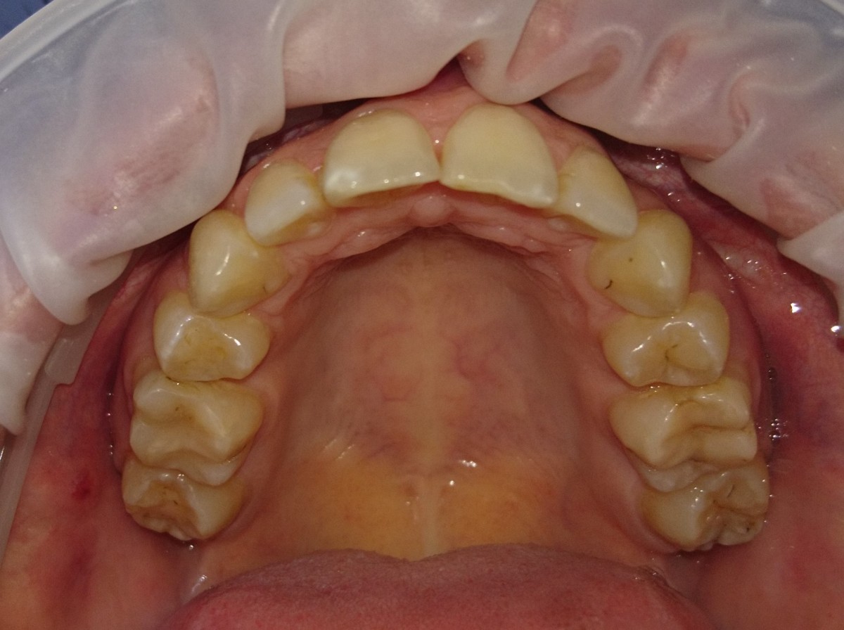
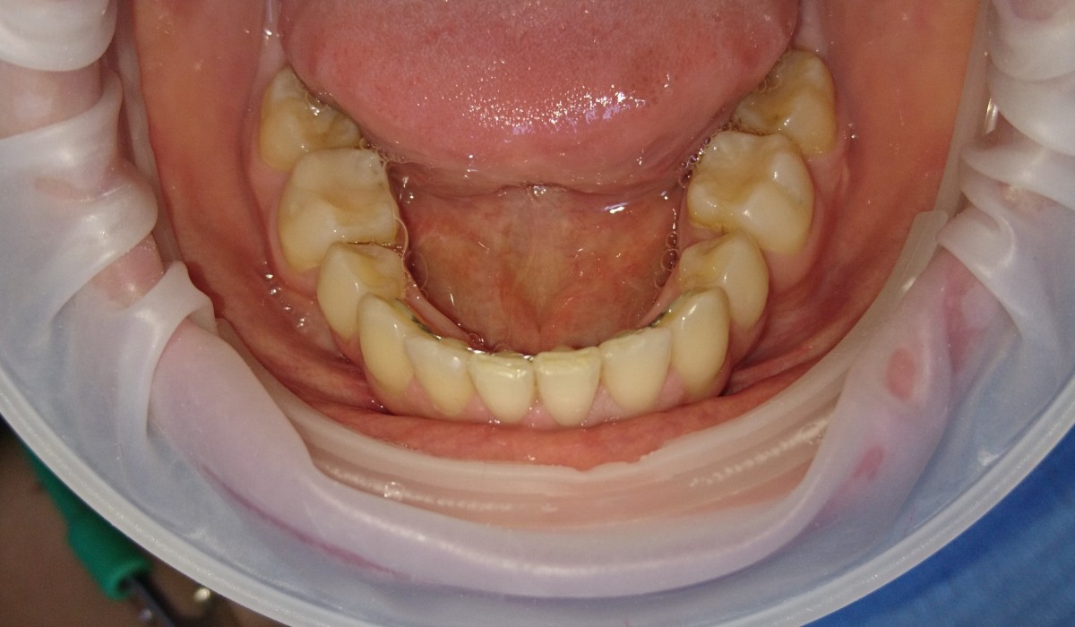
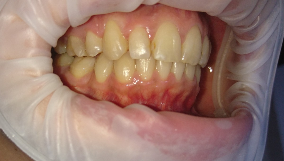
Pacient 23 ani. Extracție 1.4, 2.4, 3.5, 4.5, aparat ortodontic fix ceramic.